藤田 敏明 / Toshiaki Fujita

藤田 敏明 / Toshiaki Fujita

教授
  • 生命環境科学コース
  • 機械・生物化学工学専攻
主な研究内容

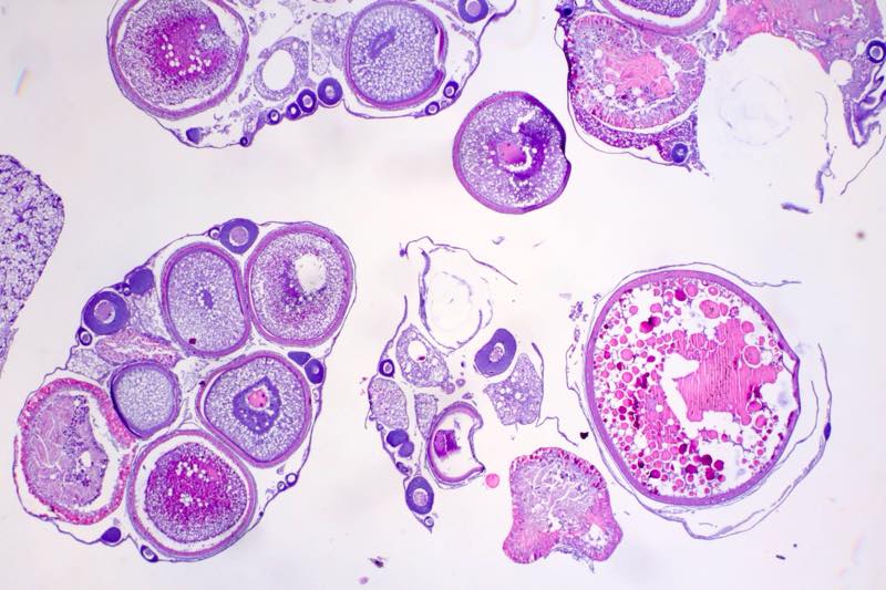
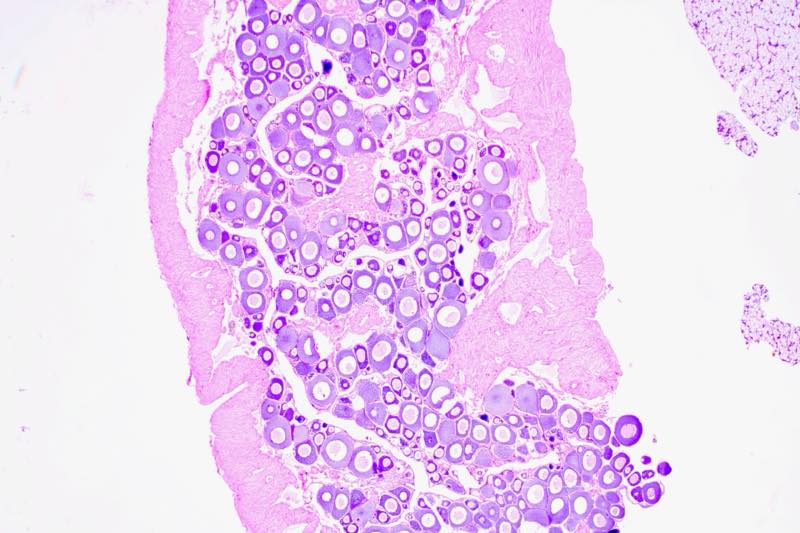
魚類の卵膜形成

魚類の卵を守る卵膜は数種類の蛋白で構成されており、魚種により、肝臓、卵巣、もしくはその両方の器官で合成されます。合成は脳下垂体のホルモン、雌性ホルモンなどによって制御されており、卵膜の厚さや表面構造などは魚種によって異なっており、同種の精子とのみ受精するように工夫されています。私の研究室では、いろいろな魚種の卵膜がどのようにできるかを生理生化学的に明らかにしようとしています。

研究テーマ

  • 卵膜蛋白の同定と精製